Please ensure Javascript is enabled for purposes of website accessibility
Top Dentist in Broken Arrow, OK

Cosmetic  Dentistry

Cosmetic Dentistry In Broken Arrow, OK 

Most of us think that cosmetic dentistry is about teeth whitening or porcelain veneers, but cosmetic dentistry encompasses so much more. Cosmetic dentistry includes many procedures that are covered by insurance if it’s for disease control like decay or broken tooth structure. However, the procedures that are done strictly to improve the look, shape, size, or color of a tooth are not covered by insurance. I’ve highlighted below several common dental procedures that oftentimes people don’t know can be easily corrected and can last 20+ years.

Benefits of Cosmetic Dentistry:

A black triangle is a dark area between your teeth where your gums have moved or receded. There are many reasons why this happens. Gum disease, natural aging process, teeth separation are just to name a few. Once your gums have moved they can’t be put back but it can be fixed. Many dentists would try and put crowns on these teeth, but they have to grind the teeth down making them weaker. I don’t do that. I rejuvenate and strengthen your teeth by adding the filling material around the tooth, filling in the black triangle. This results in a younger healthier simile that patients absolutely love.
Before dental treatment showing four front teeth with discoloration and spacing issues.
After dental treatment showing restored front teeth with improved alignment and whitening.
Before dental treatment showing gapped front teeth with visible spacing between upper incisors.
After dental treatment showing restored front teeth with natural appearance and proper alignment against gum tissue.
Teeth that are smaller than normal size are often referred to as a “pegs” or leg laterals. This happens must commonly to the upper teeth next to your front two teeth. I use the Bioclear technique to create a natural looking tooth that is virtually impossible to detect. I do this in about 1 hour. It’s less expensive than a ceramic veneer and it can be easily repaired if something happens in the future. 
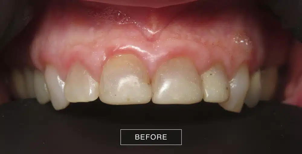
Before dental treatment showing discolored and stained front teeth with gum inflammation
Close-up dental photograph showing restored front teeth with natural appearance after treatment procedure.
Close-up of discolored front teeth before dental treatment, labeled "before."
After dental treatment showing whitened front teeth with improved alignment and natural appearance
Occasionally people will have teeth that develop with some type of blemish such as a white yellow or brown spot. Most of the time, the tooth is perfectly healthy but with an unnatural looking spot on it. This is easily corrected by removing the discolored area and placing a natural Bioclear restoration. Often times numbing is not needed, the results are incredible and long lasting.
Before dental treatment showing discolored teeth with gum recession and staining.
After dental treatment showing whitened, restored front teeth against pink gums.
Close-up of patient's smile showing discolored, uneven teeth before dental treatment.
Close-up of person's smile showing whitened upper teeth after dental treatment
When plaque is left sitting next to an orthodontic bracket for long periods of time, often a decalcified area or a white spot forms. This is usually from not brushing correctly or often enough. These white spots are weakened enamel and look unnatural. This is fixed by removing the white decalcified enamel and placing a matching tooth colored restoration. The results are a healthy natural looking tooth that no one will notice.
Before dental treatment showing discolored and stained upper front teeth.
After dental treatment showing brightened, evenly aligned front teeth with improved enamel appearance.
Often times when we age the tips or leading edge of your front teeth get thin and wear down. This is very common and easy to fix. I simply remove the dark worn out portion of the tooth and replace it with a Bioclear filling that will be strong and look fantastic. I usually cannot add length back to the tooth because it will be the first thing that you touch when you close your mouth. However, each situation is different.
Before dental treatment showing recessed gums and tooth wear in patient's mouth
Close-up intraoral view of upper teeth and gums showing dental work results after treatment.
Before dental treatment showing patient's upper teeth with visible decay and gum recession.
After dental treatment showing healthy pink gums and white teeth in dental office setting.
Before dental treatment showing gum recession and tooth discoloration in upper front teeth
After dental treatment showing restored front teeth with healthy pink gums and improved tooth appearance.
Before dental treatment showing discolored and uneven front teeth with gum recession
After dental treatment showing whitened, evenly aligned front teeth with healthy gum appearance.
Before dental treatment showing discolored front teeth with visible gaps and uneven appearance
Close-up of four restored front teeth showing whitened, uniform appearance after dental treatment.
This really isn’t orthodontic; however, this is an awesome procedure for people that want straighter teeth quickly, without having to wear a retainer. This will not work on every patient but if you are a candidate for this procedure it takes about 45 minutes per tooth. Dr. Gentling does this by adding filling material to your tooth where it’s missing and gently removing small portions of your tooth that is in the wrong spot. There are limitations to this procedure so the improvement may not be 100% but you can usually expect at least a 50% improvement. Generally, this lasts 15 or more years, the results are immediate, and you won’t have to wear a retainer every night for the rest of your life.
Before dental treatment showing gum recession and tooth discoloration on upper front teeth
Before and after dental treatment showing restored tooth color and gum health improvement.
Before dental treatment showing discolored and uneven front teeth with gum recession.
After dental treatment showing restored front teeth with improved color and appearance against pink gum tissue.
Your teeth can break for many reasons such as trauma or being weakened from decay or previous fillings. Bioclear restorations are often your best option because they are bonded so well to your tooth and look so natural. Because we removed the biofilm from your tooth and bevel the enamel, we can create the strongest direct bond in dentistry. This means the filling is as strong as possible. Additionally, by creating the infinity edge we can create a restoration that looks and feels as natural as possible. No one will ever know that you had a broken tooth.
Veneers in dentistry can be made from ceramic or composite resin. Dr. Gentling prefers the composite resin veneers which are fabricated directly on the tooth by the dentist. These seem to be more natural looking and are easily repaired if something happens. Ceramic veneers are harder but can look more manmade and if they chip a new veneer must be made and they’re more expensive.
360 Veneers Before
Before dental treatment showing discolored, stained upper front teeth requiring whitening or restoration.
360 Veneers After
After dental treatment showing restored front teeth with improved appearance and alignment.
Before dental treatment showing discolored, worn upper front teeth with gum recession.
Dental implants or crowns displayed in patient's mouth showing after treatment results in clinical setting.
Before dental treatment showing discolored front teeth with uneven color and staining.
After dental treatment showing six restored upper front teeth with improved whiteness and alignment against dark background.
At BA Dentist, we offer two types of teeth whitening. We offer the take home bleaching trays (we take impressions of your teeth to fabricate your own custom bleaching trays). You can then whiten your teeth 30 minutes twice a day for 7-14 days and you will have noticeably whiter teeth. Our other option is the Zoom in office whitening. This is a great option if you are in a hurry or if you know that you won’t do it twice a day for a couple of weeks. The in-office whitening uses a very strong whitening agent, so we put a barrier around your teeth to cover and protect your gum tissue. The whitening agent is applied to your teeth and activated by a powerful light. It takes about an hour to complete this process and when you walk out of the office your teeth will look much whiter and brighter.
Sometimes people develop “divots” or abfractions on the cheek side of their teeth at the gumline. This is usually from clinching or grinding habit. These areas are often sensitive to cold, and a lot of times collect food debris after a meal. If left untreated, this process can erode all the way to the nerve of the tooth. This is easily treated using a Bioclear restoration that completely seals and fills in the missing tooth structure. So, your sensitivity is gone, your teeth are smooth, and your teeth won’t collect food anymore.
Before dental treatment showing discolored and misaligned front teeth requiring cosmetic restoration.
Four dental crowns or veneers on upper front teeth showing tooth whitening results labeled "after"

The BA-Dentist is here for you

Set your family for better dental health, find out how qualified Dr. Todd Gentling can care for your entire family. Don’t hesitate to contact BA-Dentist today or call 918-273-6213 to schedule an appointment.

Our Patients Are Our Biggest Fans!

What Our Patients Say About Us

All I can say is that I love Dr Gently and his staff. They always make you feel like family and always get quality work when needed. They explain everything as they go so your not blind sided . I would recommend them to anyone

Google logo, colorful letters arranged in square format, representing search engine brand.
Lisa G ★★★★★

A wonderful experience. You will be treated wonderfully by all the staff. Lovely Office. Dr. Gentling is engaging and informative through all your treatment process. I was referred by a neighbor and it could not have been a better experience.

Google logo, colorful letters arranged in square format, representing search engine brand.
Terri P ★★★★★

Great visit to the BA Dentist Office!! any time you get a good results, it’s great visit!! Office staffs were very friendly and my hygienist was very gentle and through, Doctor Gentling was very knowledgeable to pointing out the dark shadows in my front tooth and gave me couple of options.

Google logo, colorful letters arranged in square format, representing search engine brand.
Kim W ★★★★★

Overall Rating, Based
on 0 Reviews.